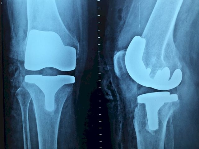
Екатеринбургская горбольница №36, которая ранее была перепрофилирована под «ковидный» госпиталь, вернулась к работе в штатном режиме. Напомним, до пандемии медучреждение специализировалось на лечении пациентов с различными травмами.
Приказ о возврате горбольницы №36 в штатный режим с 19 февраля выпустил региональный Минздрав. В самой больнице подтвердили, что сегодня с утра уже принимают своих профильных пациентов. Ранее были проведены все необходимые мероприятия по дезинфекции.
Согласно приказу Минздрава, с сегодняшнего дня к работе по профилю приступают также Артинская и Белоярская ЦРБ. Кроме того, корректируется количество «ковидных» коек в екатеринбургских больницах №40, 24 и 14, а также в Верхнепышминской, Краснотурьинской больницах и санатории «Руш». В общей сложности под коронавирус в Свердловской области зарезервировано 3658 мест, из них 1014 – в реанимации.
Есть новость — поделитесь! Мессенджеры ЕАН для ценной информации
+7 922 143 47 42

«Плохо группируются»: в Екатеринбурге растет количество «уличных» переломов17 февраля 2021 в 10:35
